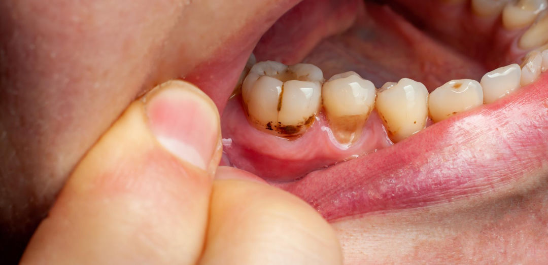
Unter Paradontitis, umgangssprachlich unter Parodontose bekannt, ist eine chronische Erkrankung des Zahnhalteapparats. Die Folgen sind der Rückgang des Zahnfleisches, Abbau des Knochens und kann im schlimmsten Falle zu Verlust des Zahnes führen. Da Paradontitis sich nicht immer mit Schmerzen auf sich aufmerksam macht, kann die Zahnerkrankung schleichend Schaden anrichten.
Parodontitis kann jeden befallen. Allerdings gibt es bestimmte Gruppen, die anfälliger dafür sind. Im heutigen Beitrag schauen wir uns diese besondere Personengruppe genauer an.
Parodontitis im zunehmenden Alter
Das Älterwerden bringt einige körperlichen Veränderungen mit sich. Nicht nur sichtbare, sondern auch unsichtbare. So kann im zunehmenden Alter die Abwehr gegen Infektionen sinken. Der Körper schafft es nicht mehr so wie früher, sie zu bekämpfen. Dadurch steigt das Risiko von Zahnerkrankungen im Mundraum.
Im Alter wird es öfters nötig, Medikamente einzunehmen. Einige Nebenwirkungen können sein, dass der Mund trocken wird. Durch die fehlende Speichelproduktion können Bakterien sich nun einfacher niederlassen und werden nicht wie gewohnt, „weggespült“. Bestimmte Vorerkrankungen wie Osteoporose oder Diabetes können ebenfalls Parodontitis begünstigen.
Daher empfiehlt das Zahnarzt Herne Team, sich gerade im Alter die Zähne überprüfen zu lassen. Gerne können Sie auch einen Termin in unserer Zahnarztpraxis auf dem Seniorcampus in Herne vereinbaren.
Parodontitis bei werdenden Müttern
In der Schwangerschaft passiert vieles mit dem Körper der werdenden Mutter. Dazu gehört, dass der Hormonspiegel ansteigt. Es werden mehr Östrogene und Progesteron produziert. Dies hat für die Zahngesundheit zur Folge, dass das Zahnfleisch intensiver durchblutet wird. Dadurch wird es empfänglicher für Infektionen bakteriellen Ursprungs. Dies wird Schwangerschaftsgingivitis bezeichnet und kann unbehandelt zu einer Parodontitis werden.
Zahlreiche Studien haben belegen können, dass zwischen Frühgeburten und Parodontitis ein Zusammenhang besteht. Auch ein niedriges Gewicht des Neugeborenen ist eine Folge der Zahnerkrankung der Mutter. Die Studien haben gezeigt, dass die Entzündungsprozesse der Zahnerkrankung zu frühen Wehen führen können.
Aus diesem Grund werden werdenden Müttern nahegelegt, während der Schwangerschaft zu einem Zahnarzt zu gehen.
Ist Parodontitis vererbbar?
Im Hinblick auf den vorigen Abschnitt ist dies eine berechtigte Frage. Hier kann nicht eindeutig mit Ja oder Nein geantwortet werden, da viele unterschiedliche Faktoren je Person in Betracht gezogen werden müssen.
Genetik spielt bei Parodontitis eine wichtige Rolle. Denn langfristige Studien haben bewiesen, dass Personen mit einer Veranlagung eher an der Zahnerkrankung erleiden als andere. Aber dies trifft nicht immer zu. Denn es kommt auch darauf an, wie das Immunsystem der jeweiligen Person ist und wie gut die Mundhygiene durchgeführt wird.
Daher kann nicht per se gesagt werden, dass Parodontitis vererbbar ist. Wer gewissenhaft seine Zähne pflegt und auch regelmäßig einen Zahnarzt besucht, kann trotz familiärer Veranlagung zu Parodontitis nicht daran erkranken.
Hilfreich ist auch ein achtsamer Lebensstil mit gesunder Ernährung und Fitness.
Fazit
Spezielle Zielgruppen wie werdende Mütter, Senioren oder Personen mit familiärer Veranlagung haben eine erhöhte Wahrscheinlichkeit, an Parodontitis zu erleiden. Unbehandelt kann sie die körperliche Gesundheit und die Zahngesundheit negativ beeinträchtigen.
Durch gewissenhafte Präventionsmaßnahmen wie eine sorgfältige Mundhygiene, regelmäßige Zahnarztbesuche und einen gesunden Lebensstil kann die Zahnerkrankung verhindert werden.
Ihr Zahnarzt Herne Team von Dr. Olivier


